Neu bei uns! Dentales Röntgen

Neu bei uns! Dentales Röntgen

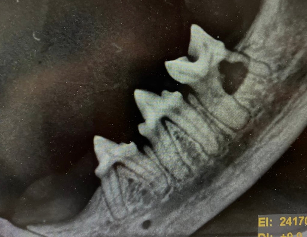
Wir freuen uns, nun auch dentale Röntgenbilder anfertigen zu können!

Damit können wir die Diagnostik und Behandlung von Zahnerkrankungen noch genauer durchführen und individuell anpassen. 

Zurück zum Blog