 
 
 
 
Kleintierpraxis Buxheim
Wir bieten Ihnen eine umfassende und liebevolle Versorgung Ihrer Klein- und Heimtiere, die über das Maß einer haustierärztlichen Versorgung hinausgeht.
Aktuelles
Alle anzeigen- 
              
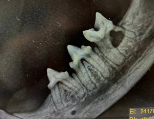
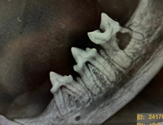
  Neu bei uns! Dentales RöntgenWir freuen uns, nun auch dentale Röntgenbilder anfertigen zu können! Damit können wir die Diagnostik und Behandlung von Zahnerkrankungen noch genauer durchführen und individuell anpassen. Neu bei uns! Dentales RöntgenWir freuen uns, nun auch dentale Röntgenbilder anfertigen zu können! Damit können wir die Diagnostik und Behandlung von Zahnerkrankungen noch genauer durchführen und individuell anpassen. 
- 
              
  Spendenaktion und Teilnahme am Berlin Marathon ...Am Sonntag durfte Frau Dr. Annekathrin Eckart voller Stolz für die Stiftung KinderHerz am Berlin Marathon teilnehmen. Die Stiftung leistet großartige Arbeit für herzkranke Kinder und deren Familien. Über ihre ... Spendenaktion und Teilnahme am Berlin Marathon ...Am Sonntag durfte Frau Dr. Annekathrin Eckart voller Stolz für die Stiftung KinderHerz am Berlin Marathon teilnehmen. Die Stiftung leistet großartige Arbeit für herzkranke Kinder und deren Familien. Über ihre ... 
- 
              
  Neue Auszubildende - Patrizia RosselZum September begrüßen wir Frau Patrizia Rossel neu im Team. Sie setzt bei uns ihre Ausbildung zur Tiermedizinischen Fachangestellten im 2. Lehrjahr fort. Herzlich Willkommen! Neue Auszubildende - Patrizia RosselZum September begrüßen wir Frau Patrizia Rossel neu im Team. Sie setzt bei uns ihre Ausbildung zur Tiermedizinischen Fachangestellten im 2. Lehrjahr fort. Herzlich Willkommen! 
Auf einen Blick
- 
            Kontakt & AnfahrtKleintierpraxis Buxheim GbR 
 Dres. Eckart
 Memminger Str. 10
 87740 BuxheimAnfahrt: Apple Maps@DuckDuckGo | Google Maps | OpenStreet Map Tel: 08331 – 63038 
 Fax: 08331 – 73679
 E-Mail: praxis@dr-eckart.de
- 
            SprechzeitenMo-Fr: 10-12 Uhr 
 Mo-Fr: 16-19 UhrZu diesen Zeiten findet eine offene Sprechstunde statt. 
- 
            Bitte rechtzeitig erscheinenBitte kommen Sie für ausführlichere und zeitlich aufwändigere Untersuchungen und Abklärungen wie Blutuntersuchungen, Ultraschall, Röntgen usw. rechtzeitig im Verlauf der Sprechstunde. 
- 
            Keine Beratung via E-MailBitte beachten Sie, dass Anfragen zu Behandlungen, Terminvereinbarungen sowie Preisauskünfte grundsätzlich nicht via E-Mail beantwortet werden. Bitte rufen Sie diesbezüglich zu den Sprechzeiten in unserer Praxis an. 
 
Ihr Kontakt zu uns
Rufen Sie uns an! 
     
     
               
              
             
              
            